Интерстициальные заболевания лёгких
| Интерстициальные заболевания лёгких | |
|---|---|
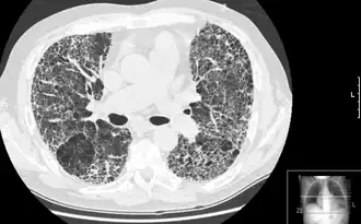
![]() Пневмофиброз как исход интерстициального заболевания лёгочной ткани - «сотовое лёгкое». | |
| МКБ-10 | J84.9 |
| МКБ-10-КМ | J84.9 |
| МКБ-9 | 506.4, 508.1, 515, 516.3, 714.81, 770.7 |
| DiseasesDB | 31509 |
| MedlinePlus | 000128 |
| eMedicine | ped/1950 |
| MeSH | D017563 |
Интерстициальные заболевания легких (ИЗЛ) — преимущественно хронические заболевания лёгочной ткани, проявляющиеся воспалением и нарушением структуры альвеолярных стенок, эндотелия лёгочных капилляров, перивазальных и перилимфатических тканей (см. альвеолит). Характерным симптомом интерстициальных заболеваний лёгких является одышка, являющаяся отражением лёгочной недостаточности[1].
Большинство интерстициальных заболеваний лёгких приводят к пневмофиброзу. В настоящее время термин «пневмофиброз» не является синонимом ИЗЛ, однако всё ещё употребляется в этом значении. Для обозначения фиброзирующих ИЗЛ с невыясненной первопричиной используется словосочетание «идиопатический пневмофиброз».
Классификация

Интерстициальные заболевания лёгких могут классифицироваться по этиологическому признаку.
- Вдыхание различных веществ из окружающей атмосферы
- Неорганические вещества
- Органические вещества
- Гиперсенситивный пневмонит или экзогенный аллергический альвеолит
- Реакция на лекарственные препараты
- Антибиотики
- Препараты для химиотерапии
- Антиаритмические препараты
- Системные заболевания соединительной ткани
- Инфекции
- Идиопатические
- Саркоидоз
- Идиопатический пневмофиброз
- Гистиоцитоз X
- Альвеолярный протеиноз
- Идиопатические интерстициальные альвеолиты — острый интерстициальный альвеолит (острая интерстициальная пневмония[2], синдром Хаммана-Рича) и др.
- Злокачественные опухоли
- Лимфангитный карциноматоз
- Ассоциированные ИЗЛ
- ИЗЛ, ассоциированные с заболеваниями печени: хронический активный гепатит, первичный билиарный цирроз печени
- ИЗЛ, ассоциированные с легочными васкулитами (гранулёматоз Вегенера, лимфоматоидный гранулёматоз, системный некротизирующий васкулит, гиперсенситивный васкулит)
- ИЗЛ, ассоциированные с реакцией «трансплантат против хозяина»
Диагностика
Диагностика ИЗЛ основана на клинической картине, рентгенологических исследованиях (рентгенография органов грудной клетки и КТВР), функциональных лёгочных тестах и лабораторных данных. В случае сомнений в диагнозе производится фибробронхоскопия и/или биопсия лёгкого.
Примечания
Литература
- Кристал Р. Дж. Глава 209. Интерстициальные заболевания лёгких // Внутренние болезни. В 10 кн. = Hurrison's Principles of Internal Medicine, 11th Ed., 1987 / Под ред. Е. Браунвальда и др. (редактор первого издания Т. Р. Харрисон). — М.: Медицина, 1995. — Т. 6. — С. 111–126. — 416 с. — 50 000 экз. — ISBN 5-225-00623-X.
- Avnon L.S., Pikovsky O., Sion-Vardy N., Almog Ya. Acute Interstitial Pneumonia–Hamman-Rich Syndrome: Clinical Characteristics and Diagnostic and Therapeutic Considerations (англ.) // Anesthesia&Analgesia. — 2009. — Iss. 108(1). — P. 232-237. — ISSN 0003-2999. — doi:10.1213/ane.0b013e318188af7a. — PMID 19095855. Архивировано 1 августа 2013 года.
.jpg)