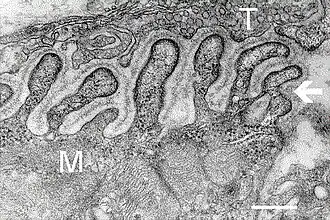
Нервно-мышечный синапс

2. Сарколемма
3. Синаптический пузырек
4. Никотиновый ацетилхолиновый рецептор
5. Митохондрия
Нервно-мышечный синапс (также нейромышечный, либо мионевральный синапс) — нервное окончание на скелетном мышечном волокне. Входит в состав нервно-мышечного веретена. Нейромедиатором в этом синапсе является ацетилхолин.
В этом синапсе нервный импульс превращается в механическое движение мышечной ткани.
Строение
В нервно-мышечной системе нервы центральной нервной системы и периферической нервной системы связаны и работают вместе с мышцами[1]. Нервный отросток подходя к сарколемме мышечного волокна утрачивает миелиновую оболочку и образует сложный аппарат с плазматической мембраной мышечного волокна, образующийся из выпячиваний аксона и цитолеммы мышечного волокна, создавая глубокие «карманы». Синаптическая мембрана аксона и постсинаптическая мембрана мышечного волокна разделены синаптической щелью. В этой области мышечное волокно не имеет поперечной исчерченности, характерно скопление митохондрий и ядер. Терминали аксонов содержат большое количество митохондрий и синаптических пузырьков с медиатором ацетилхолином.
Развитие нервно-мышечных соединений в основном изучается на модельных организмах, таких как грызуны. Кроме того, в 2015 году было создано общечеловеческое нервно-мышечное соединение in vitro с использованием эмбриональных стволовых клеток человека и соматических мышечных стволовых клеток[2].
.jpg)
Морфология синапса в гладкомышечной ткани
Двигательные нервные окончания в гладкой мышечной ткани построены проще — безмиелиновые пучки аксонов проникают между глиоцитами к пласту гладких мышц и образуют булавовидные расширения, которые содержат холинергические и адренергические пузырьки.
Примечания
- ↑ Источник. Дата обращения: 3 июля 2023. Архивировано 3 июля 2023 года.
- ↑ Источник. Дата обращения: 3 июля 2023. Архивировано 5 июля 2023 года.
- ↑ Источник — NIMH Архивировано 2 ноября 2005 года.